Generic filters
Exact matches only
Generic filters
Exact matches only
Generic filters
Exact matches only

Intro

De door MPA veroorzaakte ontstekingen leiden tot versterf (necrose) van weefsels in de achterliggende organen. Er treden dan karakteristieke ophopingen van ontstekingscellen (granulomen) op, met name in de neus en de longen. Ook de nieren worden vaak aangetast, evenals de huid, ogen en gewrichten. De ziekte kan in elk van de organen beginnen, zonder dat andere organen meedoen. Daardoor wordt de ziekte vooral in het begin vaak niet herkend.

MPA behoort samen met GPA en EGPA tot de groep ANCA geassocieerde vasculitiden (meervoud van vasculitis). Dat wil zeggen dat er een relatie bestaat tussen deze ziektebeelden en de aanwezigheid in het bloed van Anti Neutrofiele Cytoplasmatische Auto-antilichamen.

De belangrijkste kenmerken

  1. Auto-immuunziekte
    het afweersysteem valt lichaamseigen stoffen aan
  2. Ernstig
     onbehandeld bijna altijd fataal
  3. Chronisch
     niet te genezen, wel onder controle te brengen
  4. Zeldzaam
     circa 1 patiënt op 8000 inwoners
  5. Oorzaak onbekend
  6. Alle leeftijden
    MPA komt voor bij alle leeftijden maar vnl. bij mensen boven de 40
  7. Mannen en Vrouwen
    MPA komt voor bij vrouwen en mannen – en ongeveer even vaak
  8. Vooral blanken
     97% is van caucasische origine
  9. Niet erfelijk 
  10. Niet besmettelijk

Microscopische PolyAngiïtis (MPA)

MPA heeft zijn naam te danken aan het feit dat de zeer kleine bloedvaten zijn aangedaan. Het Griekse woord voor bloedvat is angeon. Een uitgang op -itis geeft aan dat het om een ontsteking gaat. Het voorvoegsel ‘poly’ staat voor de veelheid van bloedvaatjes die is aangedaan. Deze kleine bloedvaatjes kunnen alléén onder een microscoop gezien worden.

Ten onrechte wordt ook nog wel eens de term microscopische polyarteritis gehanteerd. Aangezien “arteri” een slagader is, suggereert deze term dat alleen de slagaderlijke vaatjes zijn aangedaan, hetgeen echter bij MPA niet het geval is. De term polyarteritis is daarom onjuist.

De ziekte MPA is nauwelijks te onderscheiden van wat vroeger de ziekte van Wegener heette en tegenwoordig Granulomatose met PolyAngiitis (GPA) wordt genoemd. Een belangrijk criterium voor het onderscheid tussen MPA en GPA, is dat bij MPA de bovenste luchtwegen (zoals de neus) niet of nauwelijks zijn aangedaan.

MPA komt minder vaak voor dan GPA.

Het verloop

  • Symptomen

    Symptomen

    De ziekte begint vaak met algemene symptomen. De patiënt heeft last van koorts, fors gewichtsverlies, vermoeidheid, gewrichtsklachten en algehele lusteloosheid. Daarna manifesteert MPA zich vooral in de nieren, longen, zenuwen, ogen en huid.

    Luchtwegen

    Bovenste luchtwegen (neus, neusbijholten, traanbuisjes, luchtpijp).
    In tegenstelling tot GPA, zijn bij MPA de bovenste luchtwegen niet of veel minder sterk aangedaan.

    Longen
    MPA kan, net als GPA, optreden in de longen. Als de bloedvatontsteking bij MPA zich heeft uitgebreid naar de longen, raken de tussenschotjes tussen de longblaasjes beschadigd. Deze wandjes bestaan uit slijmvlies en bloedvaatjes.

    Door de beschadigingen ontstaan de volgende symptomen:

    • De patiënt hoest bloed op dat door de beschadigingen uit de wandjes wegloopt
    • De functie van de longen gaat achteruit. Het gevolg is dat de patiënt kortademig wordt, eerst alleen bij inspanning en later ook in rust. In extreme gevallen kan dit leiden tot het bijna volledig wegvallen van de uitwisseling van zuurstof en CO2 door de longen.
    • De patiënt ervaart een stekende pijn in de borstkas. Deze pijn ontstaat doordat de ontsteking in de longen de longvliezen prikkelt.

    Ogen
    Net als bij GPA krijgt ongeveer 40% van de patiënten met MPA vroeg of laat te maken met afwijkingen aan de ogen. De meest voorkomende zijn conjunctivitis en scleritis.
    Bij conjunctivitis is het slijmvlies van de ogen ontstoken. Het ziet rood en geeft een branderig gevoel. Vaak is er een toegenomen tranenvloed. Als ook het hoornvlies is ontstoken spreekt men van keratitis.
    Bij scleritis is het weefsel dat onder het slijmvlies zit ontstoken. Vaak zit deze ontsteking maar op een enkele plek in de oogbol. Op deze plaatsen ontstaat roodheid en pijn. Ook kan het oogwit blauwrood doorschijnend worden.

    Nieren
    In meer dan 70% van de gevallen treedt MPA op in de nieren. MPA heeft daar dezelfde effecten als GPA. De kluwen bloedvaatjes in de nieren (de glomerulus) worden aangetast. De wand van deze bloedvaatjes gaat kapot, waardoor ze lek raken. Dit heet glomerulonefritis. Door de lekkages van de filtertjes zal er bloed en eiwit in de urine terechtkomen. Meestal is dat alleen onder de microscoop te zien, maar in ernstige gevallen kleurt de urine (licht)rood.

    Doordat de vaatkluwentjes beschadigen, gaat de filterende werking van de nieren achteruit. In het begin merkt de patiënt daar niets van (omdat er zoveel vaatkluwentjes zijn), maar op een gegeven moment kunnen de nieren de afvalstoffen onvoldoende uit het bloed halen. Ook de samenstelling van het bloed raakt uit evenwicht. Dit leidt tot de volgende symptomen:

    • De afvalstoffen hopen zich op in het bloed. Hierdoor kan teveel aan ureum in het bloed ontstaan. De patiënt krijgt last van misselijkheid, braken en diarree. Ook hoofdpijn, jeuk en sufheid komen voor.
    • Er kan een tekort aan eiwitten in het bloed ontstaan. Dit leidt tot massale ophoping van water in het lichaam (oedeem). Vaak is dit zichtbaar aan de enkels en onderbenen. Deze zijn veel dikker dan anders en wanneer men er met een vinger in drukt duurt het even voor de huid terugveert.
    • Een verslechterde nierfunctie leidt ook tot een verhoogde bloeddruk. Deze kan op termijn schadelijke gevolgen hebben.

    Zenuwen
    Ook het zenuwstelsel kan worden aangetast (in 30-70 % van de gevallen). Vooral de perifere zenuwen in de benen kunnen aangedaan worden. Perifere zenuwen vangen de prikkels van buiten het centrale zenuwstelsel op en brengen deze over naar het centrale zenuwstelsel. De eerste symptomen van de aantasting van de perifere zenuwen zijn ‘dove’ gevoelens, prikkeling en pijn in de tenen. Deze breiden zich langzaam uit over de voeten en naar de onderbenen. Daarna worden de spieren in de tenen en de voeten zwakker. Dit beeld ontwikkelt zich in de loop van enige weken, soms maanden. In extreme gevallen kan het ook leiden tot verlammingen in de benen.
    Ook andere delen van het zenuwstelsel kunnen worden aangedaan, maar dit komt minder vaak voor.

    Huid
    De huidafwijkingen bij MPA zijn vergelijkbaar met die van GPA. Het gaat dan om:

    • Purpura,
      rode licht verheven plekjes, niet groter dan 2-3 millimeter, die niet pijnlijk of jeukend zijn. Kenmerkend voor de plekjes is dat ze niet verdwijnen als er op wordt gedrukt. Dit is goed te zien wanneer men met een glas op zo’n plekje drukt.
    • Huid-ulcera,
      zweren die ontstaan omdat de huid afsterft rondom kapotte bloedvaatjes in de huid. Vooral de zweren op de tenen en de vingers genezen langzaam. Deze zweren kunnen uiteindelijk zelfs het verlies van vingers en tenen veroorzaken.
  • Diagnose

    Diagnose

    Een tijdige diagnose van MPA is uiterst belangrijk en tegelijkertijd een van de grootste problemen voor vasculitispatiënten. Het is belangrijk omdat de ziekte zich soms langzaam maar heel vaak ook razendsnel kan ontwikkelen. Het stellen van de diagnose is een probleem om twee redenen. Ten eerste weten veel artsen niets of nagenoeg niets van MPA omdat het een zeldzame ziekte is. Ten tweede lijken veel van de individuele symptomen waarmee de patiënt in het begin te maken krijgt, te wijzen op iets anders. Ze worden daarom door de huisarts vaak afgedaan als een middenoorontsteking, een allergie, etc. Meestal wordt er pas doorverwezen naar een specialist als er sprake is van een of meerdere symptomen die hardnekkig blijken en niet verdwijnen.

    Systemisch denken

    Helaas denkt vervolgens ook de specialist niet altijd direct aan een systemische vasculitis maar concentreert deze zich logischerwijs vaak eerst op zijn eigen vakgebied. Het is pas als de specialist bedenkt dat de verschillende symptomen wel eens met elkaar te maken konden hebben dat er aan een systemische vasculitis wordt gedacht. Ondertussen gaat het met de patiënt steeds slechter omdat de diverse organen door de bloedvatontsteking steeds verder worden aangetast en soms zelfs onherstelbaar worden beschadigd. Vandaar dat het zo belangrijk is dat de diagnose snel wordt gesteld.

    Dat er door artsen nog vaak te laat aan vasculitis wordt gedacht blijkt ondermeer uit het feit dat artsen die eenmaal een eerste vasculitispatiënt hebben gehad daarna veel sneller tot een juiste diagnose komen. Zo bleek in 2001 uit een enquête onder onze leden dat zodra een specialist één eerdere patiënt heeft gehad de gemiddelde diagnosetijd terug loopt van 33 naar 19 weken. Ondertussen waren bij die patiënten gemiddeld al meer dan 3 organen aangetast (3,6 om precies te zijn).

    Snel EN zorgvuldig

    Het lijkt wat tegenstrijdig maar de diagnose moet behalve snel ook erg zorgvuldig worden gesteld. Als het namelijk een systemische vasculitis is moet onmiddellijk de behandeling worden gestart om verdere schade aan de organen te voorkomen. Het is overigens op dat moment nog niet zo belangrijk welke vorm van vasculitis het is omdat voor de meeste vormen de initiële behandeling op grote lijnen hetzelfde is.

    MPO ANCA

    In de eerste fase van de diagnose speelt de herkenning van de symptomen door de behandelende specialist een belangrijke rol. Als de specialist vermoedt dat er sprake is van een systeemvasculitis, dan zal hij een ANCA-bloedtest laten uitvoeren. MPA is namelijk één van de aandoeningen waarbij ANCA, anti-neutrofiele cytoplasmatische antilchamen, in het bloed voorkomen. De ANCA-test is bij MPA dan ook in 90% van de gevallen positief. Het gaat dan vaak om MPO-ANCA. Dit zijn antilichamen die tegen een ander lichaamseiwit (MPO) zijn gericht dan de PR-3-ANCA die meestal bij GPA voorkomt. Doordat MPA minder vaak voorkomt dan GPA en ook bij GPAsoms  MPO-ANCA voorkomt, is de aanwezigheid van MPO-ANCA geen bewijs voor MPA maar kan hooguit leiden tot een vermoeden.

    Biopsie

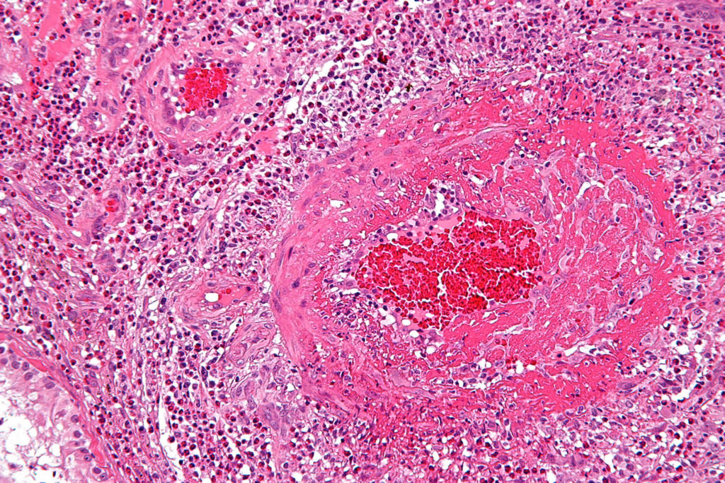
    Om de diagnose met nog meer zekerheid te kunnen stellen, wordt soms een biopsie gedaan uit het weefsel van de aangedane organen. Bij de biopsie kijkt men naar kenmerkende verschijnselen. Het gaat dan net als bij MPA om ontsteking van de wand van bloedvaatjes, ophopingen van ontstekingscellen (granulomen) en het afsterven van weefsel (necrose).

  • Behandeling

    Behandeling

    In de regel wordt de ziekte behandeld met de prednisolon, een corticosteroïde, dat de ontsteking remt. Daarnaast kunnen twee producten worden ingezet om het afweersysteem te remmen, cyclofosfamide (Endoxan) of Rituximab. Daardoor komt de ziekte tot rust en kunnen de ontstekingen voor de langere duur verdwijnen. Zowel cyclofosfamide als Rituximab zijn relatief zware medicijnen met als belangrijkste bijwerking een verhoogde gevoeligheid voor infecties. Daarom wordt zo gauw dat kan vervangen door wat mildere medicijnen als azathioprine of methotrexaat die iets minder ernstige bijwerkingen hebben. De dosering hangt af van de ernst van de ziekteverschijnselen, van het ziekteverloop en van de reacties van het lichaam op de medicijnen.

    Wanneer op het moment van diagnose de nieren ernstig zijn aangedaan, wordt aanvullend op de genoemde behandeling een enkele keer nog gedurende 7-10 dagen dagelijks een plasmaferese behandeling gegeven. Met deze behandeling wordt de ANCA uit het bloed gehaald, waardoor de ziekteactiviteit snel daalt. Zo kan verdere aantasting van de nieren worden beperkt. Als alternatief voor de kostbare plasmaferese wordt ook wel gedurende 3 dagen een stootbehandeling met methylprednison toegepast.

    De totale behandeling duurt al snel 1 tot 3 jaar.

  • Prognose

    Prognose

    MPA is een ernstige ziekte, maar als de diagnose tijdig wordt gesteld zijn de vooruitzichten voor de patiënt goed. MPA is een chronische ziekte, dat betekent dat het altijd op de achtergrond aanwezig blijft. Door de behandeling met medicijnen wordt de ziekte tot rust gebracht. Er is echter altijd een risico dat de ziekte in de loop van de jaren weer opvlamt. Als gevolg van de ziekte kan vaak blijvende schade optreden aan één of meerdere van de aangedane organen. Dit kan het dagelijks functioneren belemmeren. Vooral de nieren vormen bij MPA een risicogebied. Een vroege diagnose en behandeling is dan ook van groot belang om de schade aan de organen zoveel mogelijk te beperken. Veel patiënten hebben ook als de ziekte tot rust is gekomen last van een blijvende vermoeidheid.

Belangrijke medicatie

Gerelateerde informatie